
一项发表于《自然》杂志(网络版)的研究指出,在中国南方地区发现了一系列难以解释的球形化石,或许是一些世界上早期动物留下的遗迹。这些富有争议的化石不太可能是细菌或单细胞原生生物。在岩石中已保存超过600万年的细胞,经研究认为过于复杂并且已经开始分化。这些化石可能是一些多细胞藻类,或者是远古动物的胚胎。
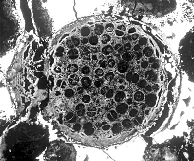
这些奇特的化石被认为是巨型球菌属(Megasphaera),来自中国南方被称为陡山沱组(Doushantuo Formation)的岩层之中。弗吉尼亚理工大学的地生物学家肖书海在1998年首次对巨型球菌标本开展研究,并推测其可能为动物胚胎。
这些化石所在地方曾为浅海环境,大小约为0.03英寸(0.7毫米)左右。目前还没有发现由这些胚胎成长而来的成年动物化石。肖书海说,之前关于巨型球菌属的研究主要是从一块陡山沱组的灰色岩石中提取。现在他和他的团队已经成功地从黑色岩石中提取更加难以观察到的化石。
通过对岩石的超薄切片,研究人员能够利用光线看清其中的结构,就像是看一面彩色的玻璃。他们观察到多个细胞,成圆球形聚集一起。肖书海说,这些化石可能代表着单细胞生物向多细胞生物之间的过渡。然而,在他们的解剖中也发现其中具有同藻类生物一样的结构形式保持一致,这意味着该化石或许更接近植物。